Por: Miguel Jara Los próximos días 28, 29 y 30 de enero, de lunes a miércoles de...
Día: 25 de enero de 2019
(Reuters) – Novartis pidió a Gran Bretaña que garantice con urgencia el movimiento de drogas en caso...
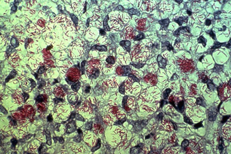
En 2017 hubo más de 210 mil nuevos casos y aparecieron varias cepas que demostraron resistencia a...
Farmatodo llegó a Buenos Aires, y lo hizo a través de dos puntos de venta en Pilar,...
Los próximos días 28, 29 y 30 de enero, se celebrará en el Juzgado de Primera Instancia...
Luego de la aprobación del TPP 11 en la Comisión de Relaciones Exteriores, uno de los puntos...
Las paraguayas Rosa Degen y Yenny González Villalba, ganaron una mención de honor del Consejo General de...
PhRMA, la asociación sectorial de los principales laboratorios estadounidenses, gastó más de US$ 6 millones en hacer...
